Ấu trùng sán xâm lấn não, người bệnh thành 'người gạo'

22/10 08:34
 

Sán ở trong người từ 10 - 20 năm, người ăn "thịt heo gạo" bị nhiễm sán dây lợn hay được gọi là "người gạo". Sán xâm lấn gây u cục, khiến "người gạo" bị rối loạn ý thức, suy hô hấp. Làm sao tránh loại ký sinh trùng gây bệnh ở người này?

Viện lâm sàng các bệnh truyền nhiễm (Bệnh viện Trung ương Quân đội 108) mới tiếp nhận một người bệnh nữ được chuyển lên từ tuyến trước vì rối loạn ý thức đe dọa suy hô hấp. 

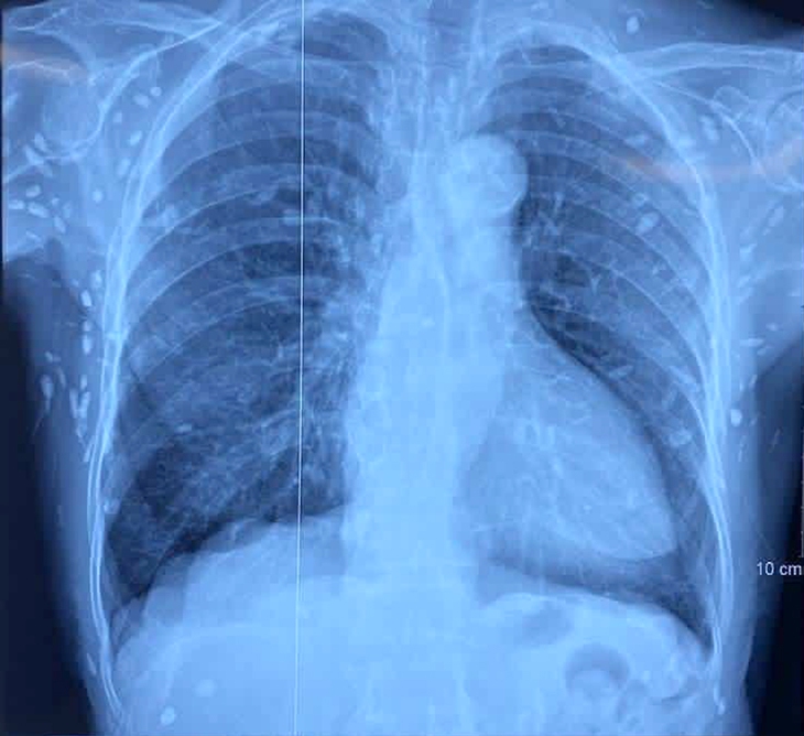
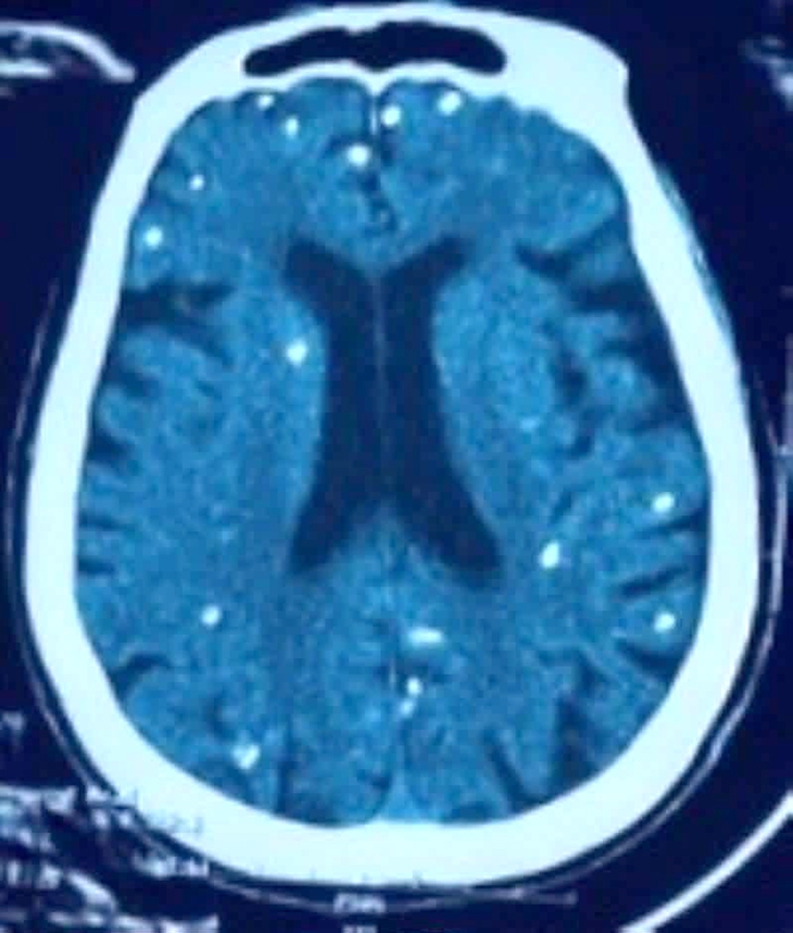
Người bệnh được chẩn đoán nhiễm ấu trùng sán dây lợn. Hình ảnh cắt lớp vi tính sọ não và X-quang ngực cho thấy rất nhiều nốt cản quang trong nhu mô não và dưới da vùng ngực - bụng.

Trước đó, Bệnh viện Nhân dân 115 TP.HCM cũng tiếp nhận bệnh nhân nam 66 tuổi (Hóc Môn, TP.HCM) nhập viện trong tình trạng đau đầu dữ dội, co giật méo miệng, yếu nhẹ nửa người phải…

Ấu trùng sán dây lợn xâm lấn não, phổi, bằng cách nào?

Ăn thịt tái sống, rau sống tiềm ẩn nguy cơ nhiễm ấu trùng sán dây lợn. Ngoài vị trí cơ, nang sán có thể được hình thành tại các vị trí nguy hiểm như não, mắt và có thể gây ra động kinh, rối loạn tâm thần, đau đầu, đau mắt, giảm thị lực…

Như người bệnh nữ ở Viện lâm sàng các bệnh truyền nhiễm xuất hiện một số u cục với kích thước tương ứng có thể sờ thấy dưới da vùng ngực và cánh tay của người bệnh.

Còn người bệnh nam ở Bệnh viện Nhân dân 115 (TP.HCM), kết quả chụp cộng hưởng từ (MRI) sọ não ghi nhận tổn thương não nhiều vị trí, phù não. Xét nghiệm huyết thanh học xác nhận kết quả dương tính với ấu trùng sán dây lợn. 

Chụp X-quang xương đùi, CT-scan ngực tầm soát tổn thương ở cơ quan khác thì phát hiện vô số nang sán dải còn sống hoặc đã bị hóa vôi "ẩn nấp" trong não, nhu mô phổi và trong da, cơ trên toàn bộ cơ thể.

Qua điều tra dịch tễ, bác sĩ ghi nhận bệnh nhân có thói quen hay ăn gỏi thịt heo tái sống, uống nước không đun sôi trong nhiều năm và đã từng có thời gian chăn nuôi gia súc trong đó có heo giống.

ThS.BS Nguyễn Sỹ Thấu, khoa hồi sức truyền nhiễm Bệnh viện Trung ương Quân đội 108, cho biết sán dây lợn (tên khoa học: Taenia solium) là một loại ký sinh trùng gây bệnh ở người, tuy nhiên được gọi tên theo vật chủ trung gian là heo. Sán trưởng thành ký sinh trong ruột của người (dài 2 - 7m, bao gồm đến 1.000 đốt sán nối liền vào nhau), đào thải trứng hoặc đốt sán qua phân.

Trứng sán có thể tồn tại vài tháng ngoài môi trường, nếu bị heo nuốt vào sẽ phát triển trong ruột non, sau đó xâm nhập vào thành ruột, rồi vào máu đi đến cơ, tạo thành các nang mà thường được gọi là các "hạt gạo" có thể quan sát được bằng mắt thường trong thịt heo bị nhiễm sán.

Người bị nhiễm sán heo do ăn phải nang sán trong thịt heo gạo không nấu chín hoặc trứng sán có trong rau sống. Ở người, ngoài vị trí cơ, nang sán có thể được hình thành tại các vị trí nguy hiểm như não, mắt và có thể gây ra các triệu chứng tại cơ quan này như động kinh, rối loạn tâm thần - vận động, đau đầu, đau mắt, giảm thị lực…

GS Nguyễn Văn Đề, nguyên trưởng bộ môn ký sinh trùng Trường ĐH Y Hà Nội, cho biết sán dây lợn là loại sán dây phổ biến trong cộng đồng với tỉ lệ nhiễm cao. Tại Việt Nam, bệnh sán dây lợn và ATSL (ấu trùng sán dây lợn) phân bố ở nhiều nơi liên quan đến tập quán ăn thịt heo chưa nấu chín như nem thính, nem chua... và đã được nghiên cứu từ lâu. Kết quả điều tra cho thấy có ít nhất 50 tỉnh có ca bệnh ATSL. Bắc Ninh là tỉnh có tỉ lệ nhiễm sán dây cao nhất (12%) và nhiễm ATSL là 5 - 7%.

Không chỉ thịt heo mới gây bệnh

GS Nguyễn Văn Đề cảnh báo nhiều người cứ nghĩ mắc ấu trùng sán lợn là do ăn phải heo gạo, thịt heo sống, tiết canh, nem chạo… nhưng thực tế kể cả khi không ăn những loại thực phẩm này cũng có thể mắc bệnh.

Ông Đề phân tích sán lợn vào người theo hai cách: Thứ nhất, khi người ăn phải thức ăn (rau sống, thực phẩm nhiễm bẩn...), nước uống, tay bẩn đưa lên miệng… có nhiễm trứng sán. 

Người ăn phải trứng sán lợn sẽ bị nhiễm ATSL. Trứng sán vào người rồi phát triển thành ấu trùng sán chui qua niêm mạc dạ dày, rồi theo hệ bạch mạch hoặc xuyên các lớp tổ chức để đi đến ký sinh ở tất cả các cơ vân ở ngực, tay, chân, lưng, mắt và đặc biệt ở não.

Thứ hai, xâm nhập qua đường tự nhiễm: ăn phải thịt heo có ấu trùng sán vào ruột phát triển thành sán trưởng thành ký sinh trong ruột; do nhu động ngược của ruột, các đốt sán bị trào ngược lên dạ dày, trứng sán thoát ra khỏi đốt sán rồi nở ra ấu trùng rồi xâm nhập vào vòng tuần hoàn.

Sán ở người từ 10 - 20 năm, "người gạo" lưu ý gì?

GS Đề cảnh báo người có sán trưởng thành dễ có nguy cơ mắc bệnh ATSL. Thông thường các đốt sán già theo phân ra ngoại cảnh. Nhưng nếu có lý do gì đó các đốt sán ở ruột bị nhu động ruột đẩy lên dạ dày, lúc đó các đốt sán bị phá hủy và không khác gì một người ăn phải trứng sán với số lượng rất nhiều.

Nguy hiểm hơn là những người đang mắc sán trưởng thành ký sinh ở ruột non vì một lý do nào đó như say tàu xe, phụ nữ có thai hoặc sốt cao, nôn oẹ... những đốt sán già rụng ở ruột non theo nhu động ngược chiều lên dạ dày; dưới tác dụng của dịch tiêu hóa, trứng từ các đốt già được giải phóng ra xuống tá tràng, hàng nghìn ấu trùng thoát ra khỏi trứng và chui qua thành ruột vào hệ tuần hoàn đi khắp cơ thể, vào các cơ các mô và phát triển thành nang ấu trùng sán (trong chứa đầu sán).

Người có nang ấu trùng sán còn gọi là "người gạo" bởi các kén này giống như hạt gạo ở các tổ chức dưới da, mắt, não, cơ, tim, phổi, gan và phúc mạc... Thực tế tại Việt Nam cũng đã ghi nhận bệnh nhân mang tới 300 nang sán dưới da và chính GS Đề cũng đã gặp hai chị em bệnh nhân cùng mắc căn bệnh sán dây lợn dẫn đến co giật do sán tích tụ ở não gây tổn thương não.

Theo ông Đề, thời gian sống của sán dây lợn trưởng thành ở người có thể trên 10 - 20 năm và ấu trùng cũng vậy. Người nhiễm sán dây lợn và ATSL có thể có rất ít hoặc không có triệu chứng trong nhiều năm, hoặc tùy từng vị trí ATSL cư trú mà biểu hiện lâm sàng khác nhau. Tồn tại ở não là vị trí thường gặp nhất mà ATSL cư trú trong hệ thần kinh trung ương, từ 60 - 96%.

Những nang ở não gây 7 nhóm bệnh thần kinh như động kinh, tăng áp lực sọ não, viêm não, rối loạn tâm thần, viêm màng não, rối loạn chức năng thần kinh và thể phối hợp. Ở da, cơ: thể ấu trùng dưới da và trong cơ chiếm 18,57%, chủ yếu ở cơ hoành, cơ lưỡi, cơ delta, vùng thân, vùng chi và cổ, dưới da đầu...

Ở mắt: nang ấu trùng có thể nằm trong hốc mắt, mi mắt, kết mạc, thủy tinh thể, tiền phòng... chiếm 3,9%. Nang sán ở mắt gây lồi nhãn cầu, làm lệch trục nhãn cầu, bong vong mạc... gây nhìn mờ, nhìn lác... và có thể mù. Ở cơ tim: ATSL ký sinh trong cơ tim dẫn tới gây rối loạn nhịp tim, ảnh hưởng tới van tim, tiến tới suy tim (tuy nhiên tỉ lệ rất thấp).

Ngoài ra, ATSL có thể ký sinh ở màng phổi, ở tuyến vú, ở xương, ruột thừa và bao ngoài bó thần kinh.

Cần điều trị sớm nếu mắc phải

Khi bị bệnh sán dây cần điều trị sớm để đảm bảo sức khỏe, đặc biệt sán dây lợn dễ gây bệnh ATSL (điều trị sẽ phức tạp và khó khăn hơn nhiều). Điều trị ATSL cần tiến hành ở nơi có phương tiện cấp cứu tốt, có bác sĩ chuyên khoa theo dõi. Sử dụng thuốc với phác đồ cần phù hợp với thể bệnh và tình trạng bệnh nhân. Trước khi điều trị ATSL cần điều trị bệnh sán lợn trưởng thành ở ruột", GS Đề khuyên.

Cách phòng tránh bệnh

"Bệnh ấu trùng sán lợn do ăn phải thức ăn bị ô nhiễm có nhiễm trứng sán dây lợn hoặc ấu trùng sán lợn (như thịt heo gạo) chưa được nấu chín kỹ. Thông thường ấu trùng sán lợn sẽ chết khi được đun nấu ở nhiệt độ 75oC trong vòng 5 phút hoặc đun sôi trong vòng 2 phút.

Để chủ động phòng bệnh, mọi người cần:

* Thực hiện ăn chín, uống chín, ăn các thức ăn đã được nấu chín kỹ, chế biến hợp vệ sinh.

* Không sử dụng thịt heo bệnh để chế biến thực phẩm. Không ăn thịt heo tái, chưa nấu chín, nem chua sống, (nguy cơ nhiễm sán dây trưởng thành), rau sống không đảm bảo vệ sinh (nguy cơ mắc bệnh ấu trùng sán lợn).

Đọc bài gốc tại đây.